
Prolasso Mitralico
Cos’è il Prolasso Mitralico
Il prolasso mitralico è una condizione relativamente comune in cui i lembi della valvola mitrale, che separa l’atrio sinistro dal ventricolo sinistro, si flettono all’indietro (prolassano) nell’atrio sinistro durante la contrazione del cuore.
Nella maggior parte dei casi è benigno e asintomatico, ma in alcune persone può associarsi a rigurgito mitralico (reflusso di sangue) o, più raramente, a complicanze cardiache.
Il Centro Valvulopatie di Auxologico
Le cause del Prolasso Mitralico
Il prolasso mitralico può essere:
- Primario: dovuto a una degenerazione del tessuto connettivo della valvola.
- Può essere congenito o ereditario, come nella sindrome di Barlow.
- Secondario: conseguente ad altre malattie che modificano la struttura o la funzione del cuore, come:
- Cardiomiopatie (malattie del muscolo cardiaco).
- Infarto del miocardio, che può danneggiare i muscoli papillari che sostengono la valvola.
- Febbre reumatica.
- Endocardite infettiva.
- Traumi toracici.
Sintomi del Prolasso Mitralico
La maggior parte dei pazienti non presenta sintomi. Quando compaiono, possono includere:
- Palpitazioni o percezione di battiti cardiaci irregolari.
- Dolore toracico atipico (non legato a sforzo).
- Affaticamento e fiato corto.
- Vertigini o svenimenti (sincope).
- Ansia o episodi di panico.
Nei casi in cui il prolasso sia associato a insufficienza mitralica severa, possono comparire sintomi più importanti, come dispnea marcata o scompenso cardiaco.
Diagnosi del Prolasso Mitralico
- Visita medica: il medico può percepire, all’auscultazione, un caratteristico “click” sistolico, talvolta seguito da un soffio cardiaco.
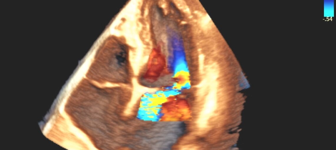
- Ecocardiogramma color-Doppler: è l’esame di riferimento per confermare la diagnosi, valutare la sede e l’entità del prolasso e la presenza di rigurgito.
- Ecocardiogramma transesofageo: utile quando servono immagini più dettagliate, ad esempio in vista di un eventuale intervento di riparazione.
- Elettrocardiogramma (ECG): può evidenziare aritmie ventricolari o fibrillazione atriale.
- Monitoraggio Holter: registra l’attività elettrica del cuore per 24 ore o più, per identificare eventuali aritmie intermittenti.
Trattamento del Prolasso Mitralico
Nella maggior parte dei casi non è necessario alcun trattamento specifico.
- Monitoraggio: controlli periodici con ecocardiogramma per sorvegliare l’evoluzione della valvola.
- Farmaci: nei casi con sintomi, possono essere prescritti beta-bloccanti o altri farmaci per ridurre le palpitazioni o la frequenza cardiaca.
- Chirurgia: indicata solo se il prolasso determina una insufficienza mitralica severa con sintomi o deterioramento della funzione cardiaca.
- Quando possibile, si preferisce la riparazione della valvola.
- La sostituzione con una protesi (meccanica o biologica) è riservata ai casi in cui la riparazione non sia fattibile.
Prolasso Mitralico e Complicanze
Il prolasso mitralico è generalmente benigno, ma in una piccola percentuale di casi può causare:
- Insufficienza mitralica, che nei casi gravi può condurre a scompenso cardiaco;
- Aritmie, talvolta anche ventricolari;
- Endocardite infettiva, che può richiedere profilassi antibiotica in specifiche situazioni;
- Morte cardiaca improvvisa, evento raro ma possibile in alcuni sottogruppi di pazienti a rischio.
Prenota Online
Ecocardiografia Visita Cardiologica Valvulopatie
Prolasso Mitralico: contenuti correlati
Il Centro Ricerche Valuvolpatie Cardiache di Auxologico
Cos'è la Stenosi Mitralica
La Stenosi Aortica
L'Insufficienza Mitralica
L'Insufficienza Aortica
L'Insufficienza Tricuspidale
Le Valvulopatie
