
Insufficienza Mitralica
Tariffe Smart, Plus, Convenzioni
Ecocolordopplergrafia Cardiaca (a riposo) Visita Cardiologica con Ecg - Valvulopatie- Cos'è l'Insufficienza Mitralica
- Insufficienza Mitralica: cause principali
- Primaria (o organica)
- Secondaria (o funzionale)
- Insufficienza Mitralica: i Sintomi
- La diagnosi
- Trattamento dell'Insufficienza Mitralica
- Possibili complicanze (se non trattata)
- Prenota in Auxologico
- Insufficienza Mitralica: Contenuti Correlati
Cos'è l'Insufficienza Mitralica
L’insufficienza mitralica (o rigurgito mitralico) è una malattia della valvola mitrale. Durante la contrazione del ventricolo sinistro, i lembi valvolari non si chiudono completamente e una parte del sangue rifluisce nell’atrio sinistro.
Può essere acuta (insorge improvvisamente) o cronica (si sviluppa nel tempo) e può essere primaria (dovuta a un danno della valvola) o secondaria (valvola integra ma “tirata” da cambiamenti del cuore). La gravità viene classificata in lieve, moderata, o severa. Se non trattata, può causare seri problemi cardiaci e limitare le attività quotidiane.
Insufficienza Mitralica: cause principali
Primaria (o organica)
La valvola è danneggiata direttamente. Tra le cause più comuni:
- Prolasso della valvola mitrale: i lembi sporgono nell’atrio sinistro durante la contrazione.
- Degenerazione mixomatosa: ispessimento e indebolimento dei lembi che può portare a prolasso o rottura delle corde tendinee.
- Endocardite infettiva: infezione della valvola.
- Esiti di febbre reumatica acuta: danno valvolare tardivo.
Secondaria (o funzionale)
La valvola è strutturalmente integra, ma la sua funzione è compromessa da altre malattie cardiache:
- Cardiopatia ischemica: disfunzione o rottura di un muscolo papillare che impedisce la chiusura completa.
- Cardiomiopatia dilatativa: dilatazione del ventricolo sinistro che allarga l’anello mitralico.
- Cardiomiopatia ipertrofica (forme ostruttive): il lembo anteriore viene risucchiato nel tratto di efflusso e non chiude l’orifizio.
Insufficienza Mitralica: i Sintomi
All’inizio può non dare disturbi. Con il tempo possono comparire:
- Affanno (dispnea): prima sotto sforzo, poi anche a riposo.
- Stanchezza e ridotta tolleranza allo sforzo.
- Palpitazioni/cardiopalmo: battiti irregolari o accelerati.
- Nei casi più gravi: edema polmonare (fiato corto improvviso, tosse, respirazione difficile).
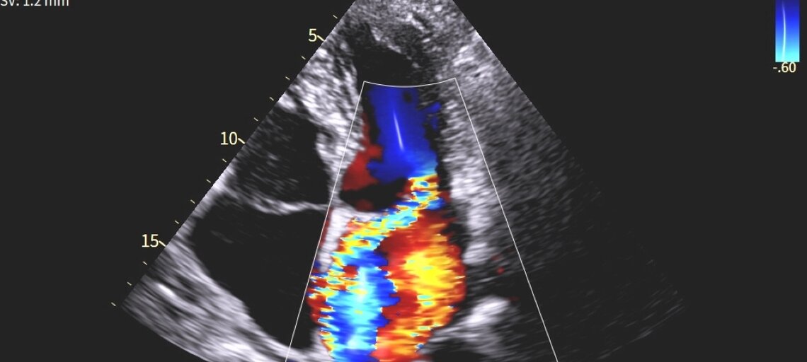
La diagnosi
- Visita cardiologica: il medico può ascoltare un soffio sistolico con il fonendoscopio.
- Ecocardiogramma con Doppler (ecocolordoppler): esame di riferimento per quantificare il rigurgito, identificarne la causa e valutarne l’impatto su ventricolo e atrio sinistri.
- Ecocardiogramma transesofageo: quando servono immagini più dettagliate della valvola, ad esempio per programmare un eventuale intervento chirurgico o transcatetere.
Trattamento dell'Insufficienza Mitralica
La scelta del trattamento dipende dalla gravità, dalla causa e dallo stato generale del paziente.
- Monitoraggio: nei casi non severi e senza sintomi sono sufficienti controlli clinici ed ecocardiografici periodici.
- Farmaci: per alleviare i sintomi e trattare eventuali condizioni associate (es. pressione alta, aritmie, scompenso cardiaco).
- Intervento cardiochirurgico (nei casi più gravi o sintomatici):
- Riparazione della valvola (preferibile quando possibile).
- Sostituzione con protesi meccanica o biologica.
- Trattamenti percutanei: tecniche meno invasive di riparazione (ad es. “clip” mitralica) o sostituzione transcatetere per pazienti selezionati, senza chirurgia a cuore aperto.
Possibili complicanze (se non trattata)
- Insufficienza cardiaca: il cuore si dilata per compensare il reflusso e perde progressivamente la capacità di pompa.
- Aritmie, in particolare fibrillazione atriale.
- Endocardite: infezione del rivestimento interno del cuore.
- Morte improvvisa: rara, ma possibile in alcune forme a più alto rischio (ad esempio certe varianti di prolasso mitralico).
Riparazione Valvola Mitriale con Mitraclip
Prenota in Auxologico
Ecocardiografia Visita Cardiologica Valvulopatie
Insufficienza Mitralica: Contenuti Correlati
La Stenosi Aortica
La Stenosi Mitralica
L'Insufficienza Aortica
Cosa sono le valvole cardiache
Cos'è l'ecocardiogramma
La morte cardiaca improvvisa
