
Insufficienza Tricuspidale
- Cos’è l'insufficienza tricuspidale
- La classificazione
- Le cause principali
- Forme secondarie (funzionali)
- Forme primitive (organiche)
- Insufficienza tricuspidale: i sintomi
- La diagnosi
- Insufficienza tricuspidale: il trattamento
- Complicanze e prognosi
- Prenota Online
- Insufficienza Tricuspidale: contenuti correlati
Cos’è l'insufficienza tricuspidale
L’insufficienza tricuspidale è una malattia della valvola tricuspide, situata tra l’atrio destro e il ventricolo destro del cuore. Quando la valvola non si chiude correttamente, parte del sangue rifluisce dal ventricolo all’atrio destro durante la contrazione cardiaca (sistole).
La classificazione
La gravità dell'insufficienza tricuspidale si classifica in:
- lieve;
- moderata;
- severa.
Se non trattata, può provocare gonfiore alle gambe e all’addome, e nei casi più avanzati compromissione della funzionalità epatica e renale.
Le cause principali
Forme secondarie (funzionali)
Sono le più comuni (circa il 90% dei casi) e derivano da malattie che colpiscono il cuore sinistro o i polmoni:
- Insufficienza mitralica o altre valvulopatie del cuore sinistro;
- Ipertensione polmonare dovuta a malattie polmonari croniche;
Il sovraccarico di pressione nel ventricolo destro provoca dilatazione dell’anello valvolare, impedendo ai lembi di chiudersi completamente.
Forme primitive (organiche)
Più rare, dovute a un danno diretto della valvola, causato da:
- Endocardite infettiva;
- Prolasso valvolare;
- Traumi toracici;
- Malformazioni congenite.
Insufficienza tricuspidale: i sintomi
Nelle fasi iniziali può essere asintomatica. Con il progredire della malattia, il sangue tende ad accumularsi nel sistema venoso, causando:
- Affaticamento e ridotta tolleranza allo sforzo.
- Gonfiore a gambe e caviglie (edemi periferici), che può diventare persistente.
- Distensione delle vene del collo (turgore giugulare).
- Ingrossamento del fegato (epatomegalia) e accumulo di liquido nell’addome (ascite).
- Palpitazioni, spesso dovute a fibrillazione atriale legata alla dilatazione dell’atrio destro.
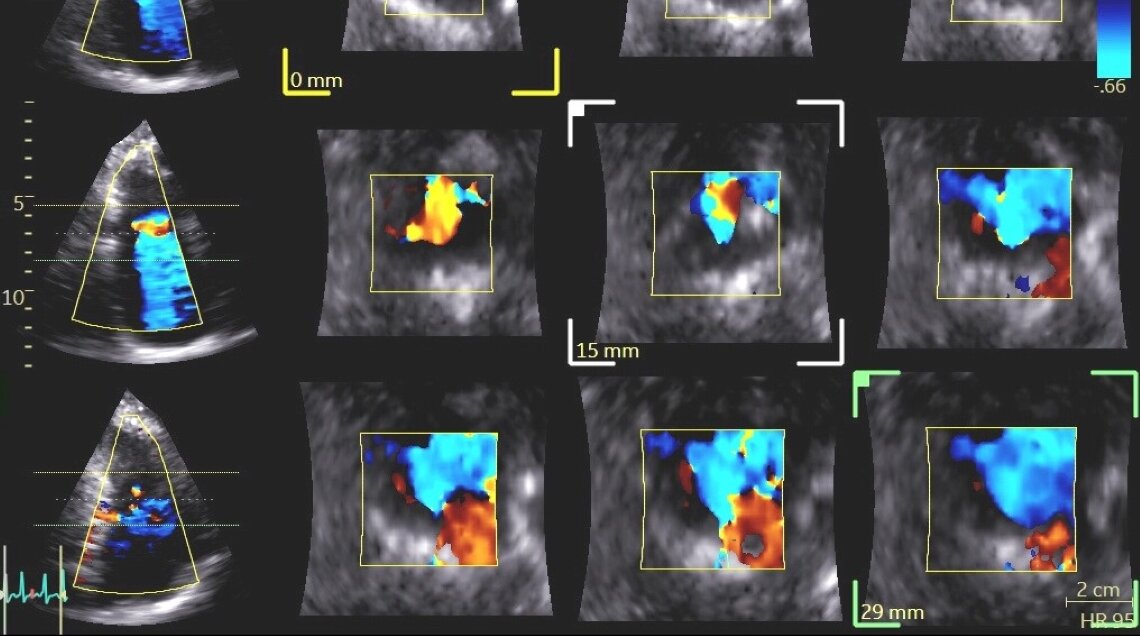
La diagnosi
- Visita cardiologica: il medico può rilevare un soffio sistolico tipico.
- Ecocardiogramma color-Doppler: esame di riferimento per valutare la gravità del rigurgito, la causa e l’impatto su ventricolo e atrio destro.
- Esami del sangue: per controllare la funzione epatica e renale.
- Elettrocardiogramma (ECG): può mostrare ipertrofia del cuore destro o aritmie, come la fibrillazione atriale.
Insufficienza tricuspidale: il trattamento
La strategia terapeutica dipende dalla gravità dell’insufficienza, dalla compromissione del cuore destro, dalla presenza di sintomi e da eventuali altre patologie cardiache.
- Monitoraggio: nei casi lievi e asintomatici sono sufficienti controlli regolari.
- Farmaci:
- Diuretici per ridurre gonfiore e congestione.
- Farmaci specifici per trattare le malattie che hanno causato la disfunzione (es. ipertensione polmonare, valvulopatie sinistre).
- Intervento chirurgico: indicato per forme gravi o sintomatiche.
- Riparazione valvolare (preferibile quando possibile).
- Sostituzione della valvola nei casi in cui la riparazione non sia praticabile.
- Trattamenti percutanei: tecniche mini-invasive, come la riparazione con clip (TriClip), possono essere proposte a pazienti ad alto rischio chirurgico.
Complicanze e prognosi
Se non trattata, l’insufficienza tricuspidale severa può evolvere in:
- Scompenso cardiaco destro, con accumulo di liquidi e gonfiore diffuso.
- Aritmie, come la fibrillazione atriale.
- Ridotta funzionalità del fegato e dei reni.
Un intervento tempestivo, chirurgico o percutaneo, può migliorare i sintomi, la qualità di vita e la prognosi.
Prenota Online
Ecocardiografia Visita Cardiologica Valvulopatie
Insufficienza Tricuspidale: contenuti correlati
Rigurgito tricuspidale secondario, novità dalla ricerca
Insufficienza tricuspidale e cuore, studio della Prof.ssa Muraru
Il Centro Ricerche Valuvolpatie Cardiache di Auxologico
Cos'è la Stenosi Mitralica
La Stenosi Aortica
L'Insufficienza Mitralica
L'Insufficienza Aortica
Le Valvulopatie
