
Mal di Schiena
Tariffe Smart, Plus, Convenzioni
Visita Fisiatrica per Dolore LombosciaticoVuoi prenotare con il SSN?
Richiedi prenotazione"Mal di schiena", Lombalgia, Sciatica: è tempo di fare chiarezza
Un programma dedicato di Auxologico
Vediamo se vi riconoscete in questo quadro. Un dolore alla schiena, in area lombare o glutea, spesso irradiato alla gamba, insorge all’improvviso o gradualmente, di regola senza che si possa dare la colpa a uno sforzo particolare o a un trauma. Che tipo di dolore? Un peso, un crampo, “un cane che morde”, una scossa; spesso tutte queste cose insieme. Può essere continuo oppure intermittente. Di regola il dolore compare se si mantengono posizioni prolungate, come nel sonno o quando si lavora seduti o si guida un’ automobile. Il cambiamento di posizione è un dramma. Il dolore potrebbe essere scomparso da anni e comparire di nuovo inaspettato. Di regola piegarsi all’indietro dà fastidio, piegarsi in avanti allevia i sintomi (ma può anche succedere, più raramente, il contrario).
"Mal di schiena": un problema comune ma molto vario e variabile
In alcuni casi il dolore è il problema minore perché prevale la difficoltà nel cammino: dopo 50-300 metri le gambe “si fermano” come un motore che abbia esaurito il carburante. Dopo una breve pausa con il tronco piegato in avanti si può ripartire fino al prossimo arresto (la cosiddetta “claudicazione spinale” o “sindrome da canale lombare ristretto”). Se si escludono violenti traumi, fratture, malattie infettive o tumorali (per fortuna rare) possiamo concludere che ci ha colpito un “mal di schiena” , talvolta chiamato in modo ridondante “mal di schiena lombosacrale”, “mal di schiena lombare”. Si tratta di una forma di dolore cosiddetto cronico-benigno (che poi tanto benigno non è), e spesso definito (anche su testi scientifici) “non specifico”: e questo, per distinguerlo da dolori vertebrali causati da fratture, tumori, infiammazioni, rare malattie reumatiche.
Nomi come lombalgia, dolore lombosacrale, dolore lombare, dolore lombosciatico, sciatica, sciatalgia danno a questo problema una veste più tecnica ma in ogni caso si tratta soltanto di semplici descrizioni. La vera causa resta nascosta. I nomi stessi rivelano che il meccanismo che lo produce resta nebuloso (“mal di schiena” è come dire “mal di pancia”). I più vari specialisti nel corso della visita hanno esaminato radiografie, TAC, risonanze magnetiche, elettromiografia: dopo di che hanno attribuito il dolore ad artrosi o a ernia del disco (che talvolta sono colpevoli ma non sempre); a volte la colpa è stata attribuita a nebulosi “problemi posturali”. Avete fatto, come si suol dire, il giro delle sette chiese fra specialisti medici (Ortopedici, Neurochirurghi, Fisiatri, Reumatologi, Neurologi, Fisioterapisti e, sempre più, anche Osteopati): il problema rimane. Le cure (fisioterapia, infiltrazioni, elettroterapie, agopuntura, farmaci antiinfiammatori, analgesici e cortisonici) talvolta hanno funzionato ma - di regola - soltanto all’inizio. E poi il mal di schiena in casi fortunati può andarsene anche da solo: come dire quale cura fra le tante è stata efficace? E se ritorna, in che cosa abbiamo sbagliato? Vi siete riconosciuti? Allora vale la pena di continuare nella lettura.

Mal di schiena, dolore lombosacrale, dolore lombare, lombalgia, sciatica:
da malattia a semplice sintomo per il quale cercare una causa
Forse è tempo di trasformare il “mal di schiena” e la "sciatica" (quali che siano le loro denominazioni) da malattie a puri sintomi di una patologia per nulla misteriosa, anche se complicata.
Il modello “causale” he ho proposto in un libro dedicato non ha nulla di misterioso.
L’ho chiamato modello CoVIn:Compressivo-Venoso-Infiammatorio. Vediamolo in breve.
Per approfondire: "Il dolore lombasciatico", il libro del Prof. Tesio
Un modello razionale che risolve finti misteri
L'ernia del disco

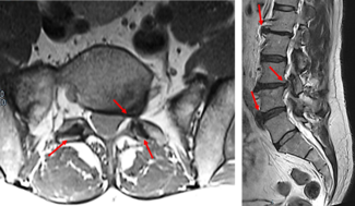
Le vertebre presentano posteriormente un anello (fatto di “peduncoli” e “lamine”) che formano, impilati fra loro come sono, un vero e proprio canale. Da oltre 90 anni è noto che il disco intervertebrale, una specie di cuscinetto ammortizzatore fra una vertebra e l’altra, a livello lombare (più che in altre sedi) può “sfiancarsi” posteriormente e andare a comprimere le più varie terminazioni nervose dolorifiche all’interno dell’angusto canale vertebrale.
Il canale ha una sezione di pochi centimetri quadrati e ospita nervi, legamenti, arterie, vene, grasso il sacco durale (o dura meninge) che avvolge le lunghe radici nervose che - uscendo dal canale vertebrale - si dirigono alla zona lombare, glutea e agli arti inferiori. Nel sacco è poi raccolto il liquido cerebrospinale (o liquido cefalorachidiano, o “liquor”): nel canale c’è una gran folla, come si vede.
Il "canale ristretto"

La compressione può avvenire anche da parte di deformità artrosiche che si formano nelle articolazioni (le “faccette”) che connettono posteriormente le vertebre fra di loro (immaginiamo le conseguenze di deformazioni delle nocche in una mano artrosica ma all’interno del canale vertebrale, rigido e poco spazioso).
Si parla allora di “canale ristretto” o “stenosi lombare”: una sindrome nella quale al dolore si associa una ridotta distanza di marcia. Dopo 50-300 metri “le gambe non vanno più”.
Il paziente si deve fermare e può riprendere il cammino dopo 30-60 secondi di riposo in posizione seduta.
Non solo ernia, non solo canale ristretto: le vene contano
Per decenni ci siamo accontentati di queste spiegazioni “osteo-discali” del dolore, incoraggiati anche da TAC e Risonanza Magnetica Nucleare che non negano a nessuno che abbia più di 40 anni qualche alterazione di questo tipo. Tuttavia, oggi sappiamo che i nervi sono molto adattabili e che anche alterazioni gravi possono essere (o diventare) del tutto indolori. Il paziente si chiederà: perché la schiena fa male proprio a me?
Ci siamo dimenticati che il canale vertebrale è foderato da un fitto reticolo venoso scoperto soltanto nel 1940. Anche lui può venire facilmente compresso e quindi dilatarsi, oppure si può dilatare se il flusso venoso non viene “smaltito” facilmente (come nel riposo, quando manca “pompa” muscolare, o in caso di insufficienza cardiaca o respiratoria). E se le vene diventano varicose creano anch’esse compressione. Inoltre il sangue al loro interno tende a ristagnare e una dolorosa flebite è in agguato. In breve, al dolore può contribuire la insufficienza venosa locale.
Un modello interpretativo semplice: CoVIn

Dunque il modello interpretativo “causale” è relativamente semplice:
compressione meccanica e dilatazione venosa si amplificano a vicenda, e la stasi venosa può generare fenomeni flebitici che, al momento, non sono evidenziabili con le comuni indagini radiologiche (ma sono stati ben evidenziati in studi sperimentali). Per inciso, alla evoluzione flebitica (e alla fibrosi che ne può seguire) possono concorre i “deficit fibrinolitici”: in particolare (ma non soltanto) se il sangue ristagna la fibrina (componente principale dei coaguli) non viene rimossa a sufficienza, e ne può seguire chiusura dei vasi sanguigni o trombosi): non soltanto nel cuore o nel cervello ma anche all’interno del canale vertebrale. Questi deficit qualche volta sono congeniti, il più delle volte di origine comportamentale: per esempio fumo, sedentarietà, obesità, dislipidemie, diabete di secondo tipo.
Misteri spiegati
Questo modello che include la dilatazione venosa spiega molte apparenti contraddizioni del “mal di schiena”. Ne citiamo qui soltanto tre (di almeno otto discusse nel libro sopra citato):
- il fatto che le immagini TAC o in Risonanza Magnetica nucleare non sono sempre correlate al dolore (molte ernie, anche voluminose, sono del tutto asintomatiche;
- il “mal di schiena” in gravidanza, senza alterazioni lombari TAC o RMN. Il fenomeno è connesso al notevole aumento di ritorno venoso dall’utero gravido: un flusso che cerca una via di fuga anche attraverso il plesso venoso epidurale;
- il dolore che compare a riposo o nelle variazioni di posizione, e non durante attività fisica (il riposo spegne la “pompa muscolare” che drena il sangue venoso).
La terapia: una deduzione razionale
Se si segue questo modello la logica terapeutica è semplice.
- Bisogna distinguere terapia del dolore dalla terapia delle cause del dolore. Ben vengano farmaci analgesici-antiinfiammatori, elettroterapie, agopuntura e altro. Tuttavia bisogna accettare che queste cure non modificano l’anatomia locale: meglio provare prima con qualche cosa che agisca a monte del sintomo;
- La fisioterapia è una risposta razionale perché può agire sulle alterazioni meccaniche che sottendono i sintomi. L’ obbiettivo? Decomprimere le strutture nervose allargando il canale vertebrale e favorendo la decongestione venosa. Adesso vediamo come.
Tre semplici macro-categorie fisioterapiche
La Trazione lombare attiva
La tecnica più promettente è di invenzione svedese ma è presente anche in poche sedi italiane. Si tratta della Trazione Lombare Attiva (in origine Auto-trazione). A dispetto del nome non si tratta affatto di una trazione passiva ma di una semplice “ginnastica” che richiede un particolare lettino fisioterapico. Il lettino è articolato trasversalmente in due sezioni e dotato di speciali barre sulle quali il paziente fa presa con le mani o con i piedi. Il paziente “si tira da solo” con gli arti superiori mentre il fisioterapista flette, estende o ruota le sezioni del tavolo. Il trattamento è del tutto indolore. Il paziente deve percepire un miglioramento apprezzabile in tre sedute: in tal caso se ne fanno altre tre-cinque. Cadenza: 2-3 sedute a settimana. Il Prof. Luigi Tesio l’ha introdotta in Italia oltre 40 anni fa e la ha semplificata notevolmente. Benché si possa considerare il trattamento di prima scelta in moltissimi casi, la tecnica è ancora molto poco diffusa.
La "chinesiterapia"
Il fisioterapista può eseguire trattamenti basati su movimenti della colonna vertebrale, favoriti in vario modo anche da movimenti degli arti o da movimenti respiratori. I movimenti articolari possono essere passivi oppure attivi, a corpo libero o con varie tecniche di presa e di resistenza da parte del fisioterapista. In generale gli esercizi appartengono alla famiglia “flessoria”: ovvero essi tendono ad allungare-allargare il canale vertebrale lombare favorendo la flessione della colonna lombare (si contrasta la fisiologica “lordosi”). L’attività muscolare paravertebrale agisce anche come “pompa” muscolare selettiva che favorisce il drenaggio venoso. Indicativamente, si eseguono 10 sedute con cadenza di tre volte la settimana.
La rieducazione in acqua o “idrochinesiterapia”
Nel caso del dolore lombosciatico la “idrochinesiterapia” sfrutta soprattutto la pressione idrostatica che si genera sul corpo immerso. In pratica, la pressione determinata dall’acqua agisce come “calza elastica” favorendo la “spremitura” venosa verso il cuore. Si decongestionano non soltanto gli arti inferiori e l’addome ma - è questo il punto che qui interessa - anche il plesso venoso epidurale: quello che, all’interno del canale vertebrale, dilatandosi può dare problemi. In acqua, poi, sono facilitati molti esercizi “flessori” che ricalcano quelli “ a secco”. Anche in questo caso, di regola si eseguono circa 10 sedute con la cadenza di due-tre sedute alla settimana. Sono necessarie piscine con temperatura più elevata di quella di piscine sportive (quindi, intorno ai 31-33 gradi centigradi) e soprattutto è necessario un fisioterapista esperto che guidi l’esercizio da bordo vasca o che, anche lui in immersione, agisca manualmente sul paziente.
Chirurgia e trattamenti semi-invasivi
Ovviamente ci sono casi per i quali la soluzione migliore è chirurgica (neurochirurgica od ortopedica). Tuttavia la chirurgia non deve essere la prima scelta se non in casi di urgenza neurologica (per fortuna assai rari). Di conseguenza l’intervento dovrebbe essere sempre preceduto da tentativi conservativi che - benché razionali - siano stati insoddisfacenti: e non sempre l’intervento è risolutivo. Per esempio, in caso di ernia discale che provochi lombosciatalgia frequentemente si risolve la sciatica ma non del tutto la lombalgia. Oppure, caso raro ma non eccezionale, vi possono essere delle recidive sulle quali il chirurgo preferisce non re-intervenire (ogni intervento lascia cicatrici a loro volta compressive). In questi casi riprendere il percorso conservativo sopra descritto può essere una buona soluzione.
E se tutto fallisce?
Se tutto fallisce (in Inglese si usa il termine edulcorato “failed back syndrome”) può diventare indicato un trattamento energico del dolore in quanto tale, visto che sulle cause abbiamo esaurito le risorse. A parte farmaci per bocca o intramuscolari vi è una discreta gamma di trattamenti “del dolore” semi-invasivi: infiltrazioni cortisoniche nello spazio epidurale (dove si affaccia l’ernia discale e transita il plesso venoso); impianto sottocutaneo di elettrostimolatori che utilizzano elettrodi infilati stabilmente nello spazio epidurale (come in una specie di “pace-maker” neurologico); impianto sottocutaneo di pompe infusionali con morfina. Tuttavia si tratta di casi-limite, davvero eccezionali e che comunque possono beneficiare di trattamenti fisioterapici concomitanti.
L'offerta di Auxologico: un programma, non prestazioni
Auxologico IRCCS ha acquisito da decenni una particolare competenza sul tema e alla fine ha scelto di realizzare un “Programma per il dolore lombosciatico” dedicato. Il Programma è affidato al Dipartimento di Scienze NeuroRiabilitative. È stato organizzato un gruppo di lavoro che opera su più sedi in Milano e poi a Meda e Pioltello e nel quale rientrano alcuni fisiatri e alcuni fisioterapisti di Auxologico. All’occorrenza, tutti i servizi diagnostici e consulenziali possono essere coinvolti. Nel programma rientrano una collaborazione strutturata con la Neurochirurgia del Policlinico e dell’Università degli Studi di Milano, nonché percorsi organizzati verso centri ambulatoriali qualificati nella rieducazione in acqua. Il paziente può scegliere liberamente altre sedi e altre soluzioni. In ogni caso il fisiatra del Programma si propone come regista del percorso di cura e non semplicemente come erogatore di una prestazione occasionale che lascia poi il paziente disorientato in mezzo alla caotica offerta di prestazioni sul tema: il paziente che vaga su Internet sa bene che cosa significhi disorientarsi.
Come accedere al programma
Per ricevere maggiori informazioni e prenotare una visita specialistica, è possibile contattare telefonicamente il CUP di Auxologico, al numero 02.619112500.
Occorre specificare che si tratta di una richiesta di visita per “mal di schiena”, "lombalgia”, “sciatica”, “lombosciatalgia”.
La ricerca di un Fisiatra del Programma dedicato al mal di schiena può avvenire cliccando qui
Attenzione. Fa eccezione il Direttore del Dipartimento e del Programma, Prof. Luigi Tesio: la prenotazione di una visita può avvenire soltanto attraverso la Segreteria del Dipartimento di Scienze Neuroriabilitative:
via Giuseppe Mercalli, 30 – 21022 Milano - tel 02619116151 - segreteria.uornm@auxologico.it
