Coronarografia
Tariffe Smart, Plus, Convenzioni
Visita cardiologica Con ElettrocardiogrammaVuoi prenotare con il SSN?
Richiedi prenotazionePubblicato il 16/05/2017 - Aggiornato il 01/09/2025
Queste informazioni non sostituiscono in alcun modo il colloquio con il tuo medico di fiducia.
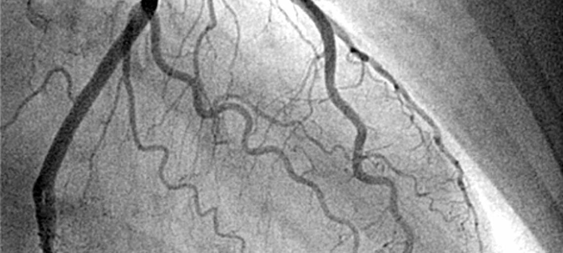
Cos'è la coronarografia?
La coronarografia è un esame radiologico che, mediante l’utilizzo di un mezzo di contrasto, consente la visualizzazione delle arterie coronarie ossia delle arterie che portano il sangue al cuore. Si svolge in sala di emodinamica.
Essa rappresenta il gold standard nello studio dell’anatomia coronarica e, se necessario, può essere accompagnata da studi ecografici intravascolari (IVUS) e studi funzionali (FFR, iFR, QFR…) se indicati.

Quando fare la coronarografia?
La coronarografia è richiesta perlopiù in alcuni casi, quali:
- sintomatologia caratterizzata da dolore al torace, alla bocca dello stomaco, al braccio, alla mandibola e al collo, sensazione di mancanza di respiro. Tali sintomi possono dipendere da una coronaropatia, che causa il restringimento in uno o più punti delle coronarie con conseguente riduzione dell’apporto di sangue al cuore;
- insufficienza cardiaca;
- cardiopatie congenite;
- difetti delle valvole cardiache;
- accertamenti pre-operatori, per avere un quadro completo delle coronarie prima di interventi sulle coronarie stesse (angioplastica o Bypass) o altri interventi sul cuore stesso (sostituzioni o plastiche valvolari, miectomie settali…);
- accertamenti post-operatori, per controllare gli esiti di procedure effettuate.
La coronarografia può essere eseguita anche in condizioni d’urgenza, in corso di sindrome coronarica acuta, finanche in emergenza entro pochi minuti in corso di infarto miocardico acuto che richiede un trattamento immediato di un’eventuale occlusione coronarica (angioplastica primaria).
Come si esegue la coronarografia?
La coronarografia viene eseguita nella sala di emodinamica, ovvero un locale interventistico attrezzato con un angiografo in grado di registrare immagini e sequenze video dell’anatomia delle coronarie. L’anestesia è locale nella sede di introduzione del catetere (un’arteria del polso, del braccio o l’arteria femorale). Non è prevista sedazione a meno che il paziente sia particolarmente ansioso o per particolari necessità cliniche del paziente.
Sotto controllo radioscopico i cateteri diagnostici vengono fatti avanzare fino all’origine delle coronarie. Con l’iniezione di una piccola quantità di mezzo di contrasto si ottiene la visualizzazione dei rami delle coronarie e ciò consente di valutare la presenza o meno di punti di restringimento.
Norme di preparazione all'esame di coronarografia
L’esame in elezione viene eseguito a digiuno da 12 ore. Per quanto riguarda le terapie in corso, il medico curante deciderà in modo individuale quali trattamenti proseguire e quali sospendere prima dell’esame.
Coronarografia: quanto dura l'esame
La durata dell’esame in media è circa 15-30 minuti. L’esame non è doloroso fatto salvo la puntura di anestesia. È possibile percepire una breve sensazione di calore durante l’iniezione del mezzo di contrasto.
Quali sono i rischi della coronarografia?
La coronarografia è un esame invasivo e l’indicazione all’esame è sempre basata sul rapporto beneficio/rischio. Grazie all’evoluzione della tecnica e dei materiali diagnostici ed interventistici i rischi si sono minimizzati e le complicanze dell’esame diagnostico sono sempre più rare.
Dal risultato della coronarografia emergono indicazioni per il trattamento più opportuno del problema cardiologico del paziente che non possono essere ottenute con altri esami. Se dall’esame emerge la necessità di trattare una patologia coronarica, spesso si può eseguire il trattamento nella stessa sede (angioplastica coronarica), senza dover programmare un secondo esame/intervento.
Le complicanze più frequenti che possono verificarsi riguardano ematomi al sito di accesso (prevalentemente quando la procedura è eseguita per via femorale), aritmie e angina.
Reazioni allergiche al mezzo di contrasto si possono verificare in pazienti che non hanno mai eseguito esami con contrasto e/o in pazienti che hanno una storia di allergie.
Le complicanze più gravi, quali infarto e morte, sono rare (circa 1/1000), ma più frequenti nei pazienti che hanno malattie coronariche particolarmente complesse e avanzate o in fase di trattamento delle stesse.
Coronarografia e angioplastica coronarica
Quando sono presenti stenosi (restringimenti od ostruzioni) delle coronarie causati da placche aterosclerotiche, con lo stesso approccio della coronarografia può essere eseguita un’angioplastica coronarica, che consente di dilatare le arterie coronarie.
Convalescenza dopo la coronarografia?
Al rientro in camera, nella fase post operatoria, sarà necessario rimanere a letto se l’esame è stato effettuato per via femorale, mentre se è stato eseguito per via radiale è consentita la mobilizzazione. L’assunzione di liquidi è consentita e consigliata al fine di favorire l’eliminazione del mezzo di contrasto.
È prevista normalmente una degenza fino al giorno successivo. Se le condizioni cliniche lo consentono, la dimissione può avvenire anche nella giornata stessa dell’esame.
Prenota una Visita Cardiologica con Elettrocardiogramma
Richiesta SSN Plus, Smart, Convenzioni Telefono/Allo Sportello
Contenuto realizzato in collaborazione con Clorofilla

