Salta al contenuto principale

Ortopantomografia

Tariffe Smart, Plus, Convenzioni

Radiografia ortopantomografia delle arcate dentarie

Pubblicato il 08/03/2017 - Aggiornato il 06/10/2025

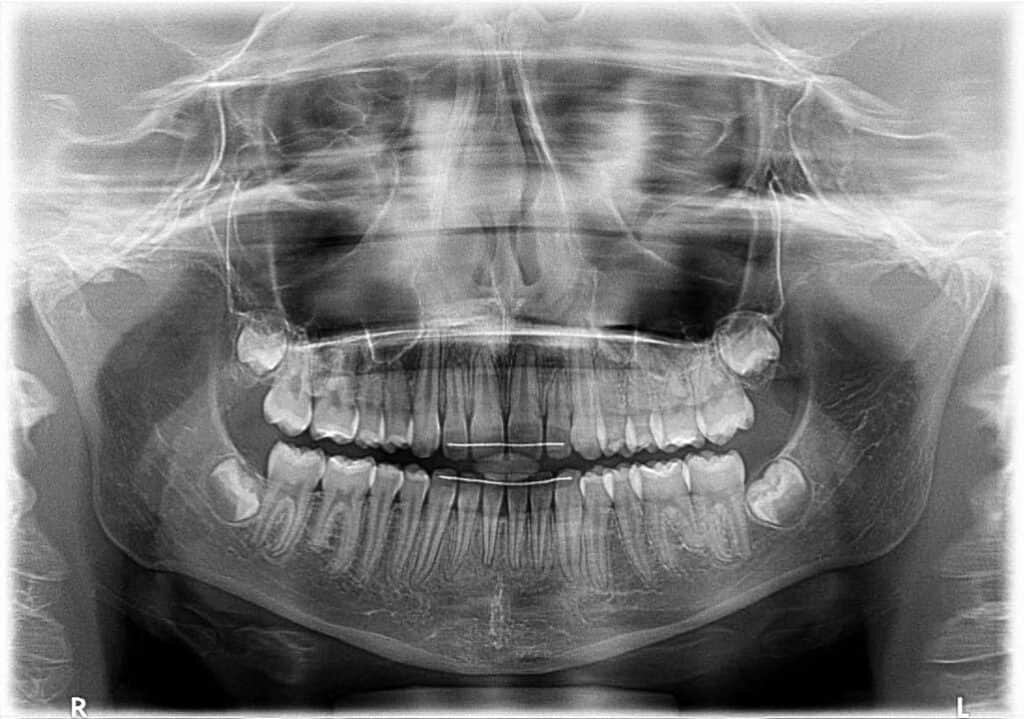
L’ortopantomografia (o "panoramica dentale") è un esame radiografico che consente di studiare le arcate dentarie superiori e inferiori.

Cos'è l'Ortopantomografia (Panoramica Dentale)?

L’ortopantomografia (OPT) o panoramica dentale, è un esame radiografico che viene effettuato mediante un'apparecchiatura chiamata ortopantomografo e consente allo specialista di studiare le arcate dentarie superiori e inferiori.


A cosa serve l'ortopantomografia?

Fornisce una visione dell’apparato dento-parodontale nel suo insieme: consente infatti di evidenziare su un’unica pellicola entrambi i mascellari, i processi alveolari e le articolazioni temporo-mandibolari.

Inoltre fornisce informazioni relative ad anomalie di numero, di sviluppo, di forma e di sede dei denti, permettendo di esaminare la situazione del paziente all’inizio del trattamento, nelle fasi intermedie e in quelle finali.


Come si svolge?

Durante l'esame il paziente è in piedi, con il viso rivolto verso una superficie sensibile che raccoglierà le immagini. Un braccio rotante, che contiene una sorgente di raggi X, ruota in pochi secondi attorno alla sua testa.


    La Diagnostica per Immagini in Auxologico

    Il Servizio di Diagnostica per Immagini di Auxologico effettua ogni anno oltre 350.000 esami, garantendo un servizio completo e di elevata qualità, eseguito da specialisti radiologi esperti con le strumentazioni più avanzate e performanti presenti sul mercato.

    Il Servizio


    Ortopantomografia, domande frequenti

    • Quanto dura l'ortopantomografia? L'ortopantomografia è estremamente breve, dura pochi secondi.
    • L'ortopantomografia è dolorosa? L'ortopantomografia non è dolorosa.

    Prenota in Auxologico

    Radiografia Ortopantomografia delle Arcate Dentarie


    Diagnostica per Immagini: Contenuti Correlati